SALUD: Neurociencias: La ciencia del cerebro: Visualizando el cerebro - 2ª parte

 Natureduca - Portal educativo de ciencia y cultura

 Menú principal - Índice principal Usuarios conectados 55 usuarios conectados


Salud

NEUROCIENCIAS: LA CIENCIA DEL CEREBRO

Visualizando el cerebro - 2ª parte

Fuente: Asociación Británica de Neurociencias


1 2 3

¿Cómo funciona todo? (continuación)

na de las aplicaciones más excitantes de la tecnología de MRI es el proporcionar imágenes funcionales del cerebro: esto es lo que se llama Proyección de Imagen Funcional por Resonancia Magnética (fMRI). Ésta se basa en las diferentes propiedades magnéticas existentes entre oxihemoglobina y deoxihemoglobina en sangre (por lo cual la señal que se obtiene en FMRI se llama Señal Dependiente del Nivel de Oxigenación Sanguínea: BOLD).

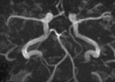
Imágenes de vasos sanguíneos en el cerebro. Los cambios en el flujo sanguíneo se pueden medir y sirven como índice de actividad neuronal.
Imágenes de vasos sanguíneos en el cerebro. Los cambios en el flujo sanguíneo se pueden medir y sirven como índice de actividad neuronal.

Cuando la actividad neuronal aumenta se induce un aumento del movimiento de iones que a su vez activan las bombas iónicas que requieren energía, por lo que aparece un aumento del metabolismo energético y del consumo de oxígeno. Todo esto implica un aumento de deoxihemoglobina y una disminución de la señal magnética. Sin embargo, el aumento en el consumo de oxígeno va inmediatamente seguido (segundos) por un aumento local del flujo cerebral.

El aumento del flujo cerebral es mayor que el aumento en consumo de oxigeno; por lo tanto, hay un aumento relativo de oxihemoglobina y de intensidad de la señal. El mecanismo exacto de cómo se produce este aumento de flujo sanguíneo no está claro, pero parece ser que las responsables serian ciertas señales relacionadas con neurotransmisores.

Con la nueva tecnología informática, las imágenes obtenidas por scanners PET y MRI muestran donde exactamente ocurren los cambios en flujo sanguíneo dentro del cerebro
Con la nueva tecnología informática, las imágenes obtenidas por scanners PET y MRI muestran donde exactamente ocurren los cambios en flujo sanguíneo dentro del cerebro

Ponerlo en marcha

Probablemente seáis muy buenos substrayendo números. ¿Pero habéis probado alguna vez a substraer cerebros? No es de extrañar, por tanto, que el niño en el dibujo esté confundido. El substraer imágenes cerebrales en 2 y 3 dimensiones parece ser fundamental para el análisis de los datos y/o resultados. La mayoría de los estudios por MRI conlleva la medición de BOLD, cuando la gente se encuentra realizando determinadas tareas de forma controlada.

Durante la realización de un scann, los sujetos yacen dentro del anillo de imanes y sus respuestas comportamentales a diferentes estímulos son monitorizadas. Se pueden presentar una gran variedad de estímulos, tanto visuales, proyectados en una pantalla para que el individuo los pueda ver o auditivos por medio de auriculares.

También se pueden examinar otros fenómenos tales como la percepción, el aprendizaje, los recuerdos, el pensamiento e incluso la planificación. A menudo, se designan dos tareas teniendo que realizarse una justo después de la otra. La idea es que la primera tarea es la que implica el proceso en que el investigador está interesado mientras que la otra no debería. La sucesión de imágenes que se obtienen se substraen la una de las otras para obtener una imagen en 2 dimensiones, con los cambios que están específicamente asociados con el proceso cerebral realizado. Estas imágenes son acumuladas y apiladas por el ordenador para crear una substracción efectiva y proporcionar una imagen en 3 dimensiones (ver el dibujo de la página anterior). Los recientes avances y descubrimientos hacen que incluso breves pensamientos o cortos procesos cerebrales (tan cortos como uno o dos segundos) puedan ser analizados. Esto es lo que se conoce como MRI asociado a un proceso.

Para determinar si los cambios en una señal son reales y estadísticamente significativos durante la realización de una tarea se utilizan sofisticados métodos de análisis de datos. Un sistema de análisis que ha permitido estandarizar el procesado de los datos obtenidos de las imágenes es el llamado Mapeo parametrito estadístico (SPM). Los mapas SPM normalmente son en color, en donde el amarillo intenso se usa para las áreas de mayor actividad (“calientes”) mientras que el azul y negro indican áreas de menor actividad (“frías”).

1 2 3

       

 Menú principal - Índice principal



Logo Asociación Española para la Cultura, el Arte y la Educación ASOCAE Creative Commons © ASOCAE ONGD, Asociación Española para la Cultura, el Arte y la Educación - www.asocae.org - RNA 592727 - CIF.: G70195805 ¦ Contacto  ¦  Bibliografía ¦  Política de privacidad ¦ Esta web NO utiliza cookies, ni guarda datos personales de los usuarios